• Willkommen im denk-Forum für Politik, Philosophie und Kunst!
    Hier findest Du alles zum aktuellen Politikgeschehen, Diskussionen über philosophische Fragen und Kunst
    Registriere Dich kostenlos, dann kannst du eigene Themen verfassen und siehst wesentlich weniger Werbung

Rezepte zur Lebens(er)haltung: Gesundheit Essen & Co.

Kubeben-Pfeffer (auch Kubenenpfeffer) oder Stiel-Pfeffer (Piper cubeba) ist eine Pflanzenart aus der Gattung Pfeffer in der Familie der Pfeffergewächse (Piperaceae). Er wird als Gewürz- und Heilpflanze verwendet. Die Früchte der Pflanze werden ebenfalls als Kubebenpfeffer, die einzelne Frucht wird als Kubebe (Plural: Kubeben), von gleichbedeutend lateinisch cubeba, bezeichnet.
Kubeben (über arabisch kubāba von lateinisch cubeba)[4][5] sind die unreifen Früchte der früher als Cubeba officinalis L. bezeichneten Pflanzenart. In China wurden Kubeben seit langem in der Medizin zu Heilzwecken verwendet. Sie erreichten den Westen durch arabische Händler und wurden (zum Beispiel bei Husten[6]) als Heilmittel[7] wie als Gewürz geschätzt. Bis zum 17. Jahrhundert waren sie allgemein gebräuchlich und wurden gelegentlich mit Wacholderbeeren[8] verfälscht. Als Lieferant von Ersatzfrüchten für Cubeba diente unter anderem auch die Myrte.[9]

Langer Pfeffer (Piper longum), auch Stangenpfeffer genannt, ist eine Art aus der Gattung Pfeffer in der Familie der Pfeffergewächse (Piperaceae). Er wird auf Tamil/Malayalam pippali genannt und gab der gesamten Gattung Piper (deutsch: Pfeffer, entstanden aus mittelhochdeutsch phëffer) den Namen.
Die an Kätzchen erinnernden Fruchtstände werden in verschiedenen Reifestufen geerntet und getrocknet als Langer Pfeffer gehandelt und überwiegend als Gewürz, in Indien aber auch als Heilmittel verwendet. Langer Pfeffer ist etwa gleich scharf wie schwarzer Pfeffer und hat einen leicht süßlichen und säuerlichen Geschmack.[6] Er kann als vollwertiger Ersatz für schwarzen Pfeffer genutzt werden, ist jedoch teurer als dieser. Es empfiehlt sich, die Früchte mit einer Schere in Stücke auf 0,5 cm zuzuschneiden. Diese lassen sich dann mit einem Mörser oder einer Gewürzmühle mit keramischem Mahlwerk zermahlen und so sehr gut in der Küche einsetzen.[2]
Aus den Samen des vollreifen Pfeffers lässt sich ebenfalls ein Gewürz gewinnen. Diese, als sogenannter „Kaviarpfeffer“ bezeichnete Saat, hat ein süßlich-holziges Aroma und besitzt eine leichte Schärfe.[7]
In Indien sehr bekannt ist die Verwendung der Wurzeln der Pflanze, die dort als „Ganthoda“ bezeichnet und meist in Pulverform angeboten werden. Das Pulver wird als ayurvedisches Heilmittel, aber auch als Gewürz verwendet.[8]
 
Werbung:
Gegenstand der Bewegungswissenschaft oder Kinesiologie (altgriechisch κίνησις kínēsis ‚Bewegung‘) sind die Bewegungen von Lebewesen, insbesondere die des Menschen. In Deutschland bezieht sich der Begriff der Bewegungswissenschaft[4], auch als Motorikwissenschaft, Sportmotorik oder Kinesiologie bezeichnet,[4] zumeist auf Bereiche des Sports und wird als Teildisziplin der Sportwissenschaft verstanden. Sie befasst sich mit den äußerlich beobachtbaren Erscheinungen und Veränderungen (Außenaspekt) sowie den körperinternen Steuerungs- und Funktionsprozessen, die eine Bewegung ermöglichen (Innenaspekt). Es werden Fragestellungen aus den Bereichen Motorik, Lernen, Entwicklung, Verhalten, Handeln, Emotion, Motive, Sensorik und Kognition[4] untersucht und Methoden der Physik, Chemie, Mathematik, Physiologie, Anatomie,[5] Psychologie und Pädagogik verwendet. Anwendung finden ihre Ergebnisse unter anderem im Leistungs-, Schul-, Breiten- und Gesundheitssport.
Die Grundlagen der Bewegungsforschung gehen bis auf Aristoteles (384–322) (De Motu Animalium), Leonardo da Vinci (1452–1519), Galileo Galilei (1564–1642), Giovanni Alfonso Borelli (1608–1679), Leonhard Euler (1707–1783) sowie Joseph-Louis Lagrange (1736–1813) zurück. Zu den Anwendungsgebieten der Bewegungswissenschaft zählen vor allem die Arbeitswissenschaft (Ergonomie),[2] die Ergotherapie und Physiotherapie,[3] die Orthopädie, die Rehabilitationswissenschaft sowie die Sportwissenschaft.

Qigong (chinesisch 氣功 / 气功, Pinyin qìgōng, W.-G. ch'i-kung, in geläufiger Schreibweise auch Chigong) ist eine chinesische Meditations-, Konzentrations- und Bewegungsform zur Kultivierung von Körper und Geist. Auch Kampfkunst-Übungen werden darunter verstanden. Zur Praxis gehören Atemübungen, Körper- und Bewegungsübungen, Konzentrationsübungen und Meditationsübungen. Die Übungen sollen der Harmonisierung und Regulierung des Qi-Flusses im Körper dienen.
Der Ursprung der Übungen liegt weit zurück, schon bei Zhuangzi werden bestimmte Formen angedeutet, und aus der Zeit der Han-Dynastie liegen Seidenbilder vor. Der Name Qigong wurde zum ersten Mal von dem Daoisten Xu Xun aus der Jin-Zeit verwendet und bezeichnet seitdem bestimmte Übungen in der Kampfkunst. In der Geschichte Chinas hat diese Praxis als Gesundheitsvorsorge immer eine große Rolle gespielt, wurde aber auch für religiös-geistige Zwecke, insbesondere im Daoismus, Buddhismus und Konfuzianismus, eingesetzt und in den Klöstern überliefert. Die Bezeichnung Qigong für diese Übungen findet jedoch erst seit den 1950er Jahren Verwendung und die unterschiedlichen Stilarten des Qigong sind zum Teil ganz neue Entwicklungen, die jedoch auf den jahrtausendealten Traditionen basieren.

Aikidō [aikidoː] (japanisch 合気道 oder 合氣道) ist eine betont defensive moderne japanische Kampfkunst. Sie wurde Anfang des 20. Jahrhunderts von Ueshiba Morihei als Synthese unterschiedlicher Budō-Disziplinen entwickelt, insbesondere aus dem Daitō-Ryū Aiki-Jūjutsu. Die Aikidō-Praktizierenden bezeichnet man als Aikidōka.
Der Name Aikidō wird aus drei sinojapanischen Schriftzeichen geformt (合気道; Ai „Harmonie“, Ki „Lebensenergie“, „Lebensweg“[5]) und kann daher in etwa als Der Weg der Harmonie im Zusammenspiel mit Energie, Weg zur Harmonie der Kräfte oder Der Weg der Harmonie mit der Energie des Universums übersetzt werden.
Diese Bezeichnung bezieht sich darauf, dass Aikidō-Techniken dahin zielen, Angriffe durch die Kontrolle ihrer Energie und nicht durch Abblocken derselben zu kontrollieren. Ein häufig genannter Vergleich lautet, dass die flexible Trauerweide einem Sturm durch Biegen widerstehen kann, während die viel stabilere Eiche bricht, wenn der Wind zu stark ist.
 
Zuletzt bearbeitet:
❤️💔💚

Amyloidose: Symptome und Therapie (c) Sendung: Visite | 07.02.2023 | 20:15 Uhr
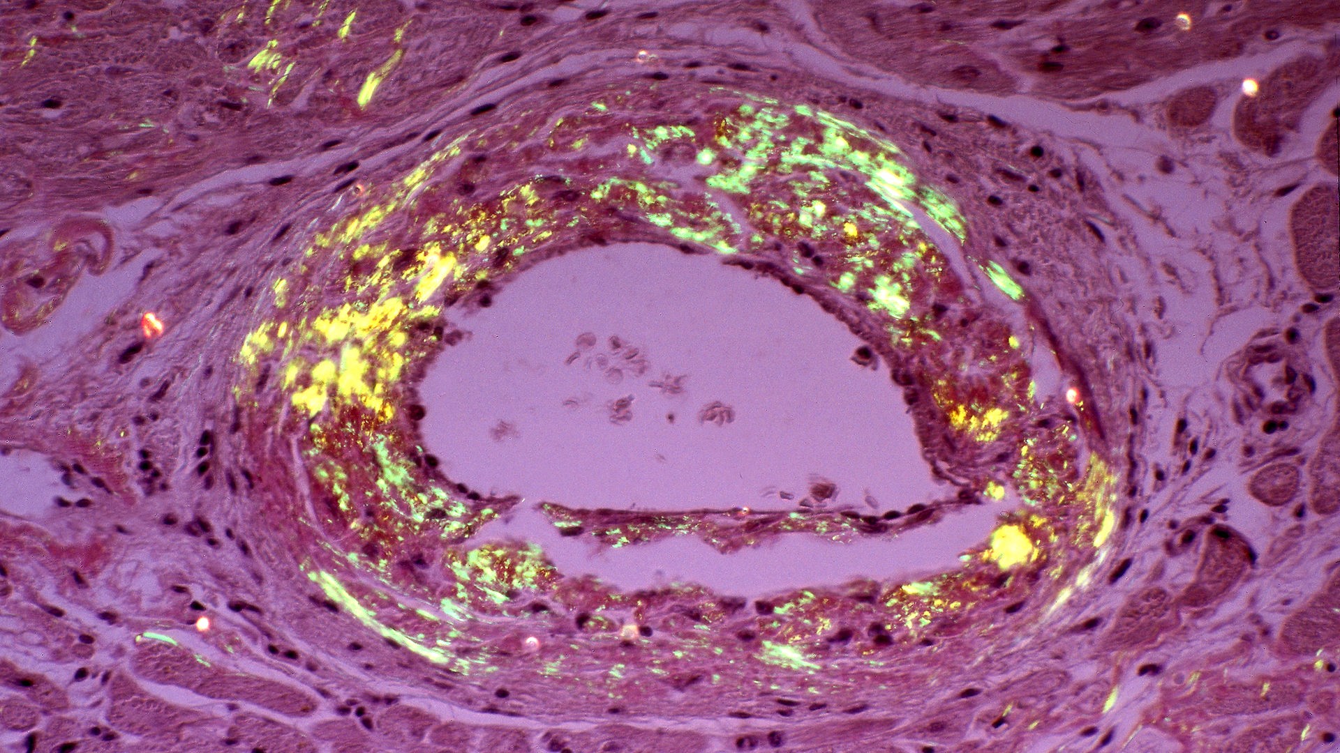
Die Amyloidose (von altgriechisch ἄμυλον ámylon „Kraftmehl, Stärke“)[1] ist eine variable Erkrankung mit Anreicherung von (zum Teil abnorm veränderten) Proteinen meist extrazellulär im Interstitium (Zwischenzellraum). Diese unlöslichen Ablagerungen liegen in Form kleiner Fasern, den Fibrillen (β-Fibrillen), vor und werden als Amyloid bezeichnet. Der Nachweis von Amyloid erfolgt durch mikroskopische Untersuchung von Gewebeproben, die zuvor mit Kongorot gefärbt wurden. Die Amyloidablagerungen erscheinen im Hellfeld hellrot, in polarisiertem Licht zeigen sie eine apfelgrüne Doppelbrechung. https://de.wikipedia.org/wiki/Amyloidose

Lungenhochdruck belastet das Herz (c) Sendung: Visite | 14.02.2023 | 20:15 Uhr
(Weitergeleitet von Lungenhochdruck) https://de.wikipedia.org/wiki/Pulmonale_Hypertonie

Die pulmonale Hypertonie (abgekürzt PH oder PHT) ist ein Symptom von Krankheiten, die durch einen Anstieg des Blutdrucks im Lungenkreislauf und oft einen zunehmenden Anstieg des Gefäßwiderstandes in den Lungenarterien (mit erhöhtem pulmonalarteriellem Druck) gekennzeichnet sind. Die Patienten mit einer solchen Drucksteigerung (Hypertonie) im kleinen Kreislauf leiden unter stark eingeschränkter körperlicher Leistungsfähigkeit, Luftnot, Kreislaufstörungen und Müdigkeit. Eine sekundäre pulmonale Hypertonie, hervorgerufen durch andere Krankheiten, ist häufig. Eine primäre pulmonale Hypertonie ist dagegen eher selten und hat eine ungünstige Prognose.

Spazieren gehen: So gesund ist tägliche Bewegung (c) Stand: 14.02.2023
Mit Gehen abnehmen und Muskeln aufbauen
Mehr Bewegung tut gut - und lindert viele chronische Erkrankungen. Und das betrifft nicht nur Gelenke, Herz und Kreislauf, sondern auch den Stoffwechsel, das Gehirn und sogar die Psyche. Selbst langsames Spazierengehen hat viele positive Auswirkungen auf den Körper:
  • gesteigerter Sauerstoffumsatz im Körper
  • Stärkung des Immunsystems
  • Aufbau von Muskeln
  • Reduzierung des Körpergewichts
  • Entlastung für die Gelenke
  • Training und Stärkung für das Herz
  • Stärkung der Gefäße
  • verringertes Risiko für Diabetes Typ 2
  • Anregung des Stoffwechsels
  • mehr Leistungsfähigkeit für das Gehirn
  • Ausschüttung von Glückshormonen
Wer viel spazieren geht, lebt oft länger
In Studien zeigte sich, dass Menschen, die ihre durchschnittliche Schrittzahl pro Tag von 4.000 auf 8.000 Schritte steigerten, ihr allgemeines Sterberisiko nach zehn Jahren um 50 Prozent reduzieren konnten. Mehr Schritte pro Tag standen zum Beispiel in Zusammenhang mit einem geringeren Risiko für Krebs und Herz-Kreislauf-Erkrankungen. Wer es auf rund 12.000 Schritte pro Tag brachte, konnte sein Sterberisiko sogar um mehr als 60 Prozent senken. Die Schrittintensität, also das Gehtempo, hatte dabei auf das Sterberisiko keine Auswirkungen.
 
Zuletzt bearbeitet:
Legionärskrankheit (Legionellose)
Erreger und Übertragung
Die Legionellose wird durch das Bakterium Legionella pneumophila ausgelöst, ein gramnegatives Stäbchen-Bakterium. Die Erreger werden durch vernebeltes Wasser übertragen. Die erregerhaltigen Tröpfchen können sich in der Luft verbreiten und eingeatmet werden. Mögliche Ansteckungsquellen sind beispielsweise Duschen, Luftbefeuchter oder Wasserhähne, ebenso Kühltürme oder Klimaanlagen. Auch in Schwimmbädern ist über Wasserfälle, Rutschen, Whirlpools und Fontänen eine Übertragung möglich.
Eine Übertragung von Mensch zu Mensch wurde bisher nicht nachgewiesen.
Legionärskrankheit / Legionellen-Pneumonie
Die Legionellen-Pneumonie ist eine schwere Form der Lungenentzündung. Es entwickeln sich sehr rasch Brust- und Kopfschmerzen, Husten, Schüttelfrost und hohes Fieber. Gelegentlich treten Bauchschmerzen mit Durchfall und Erbrechen auf. Die Lungenentzündung verläuft häufig schwer und kann rund vier Wochen andauern.

Pontiac-Fieber
Häufiger als die Legionellen-Pneumonie, tritt das Pontiac-Fieber auf. Der Verlauf ist milder und ohne Lungenentzündung. Es treten grippeähnliche Beschwerden wie Fieber, Unwohlsein, Kopf- und Gliederschmerzen auf, auch Brustschmerzen und Husten sind möglich. Die Erkrankung heilt meist von selbst innerhalb von zwei bis fünf Tagen aus. Spätschäden sowie Todesfälle sind nicht beschrieben.
 
Längere Enthaltsamkeit und mögliche Folgen ... 😷

Kavaliersschmerzen oder Bräutigamsschmerzen, auch Blaue Hoden oder mit Bezug auf die sexuelle Frustration „Traurige Hoden“ (englisch blue balls) oder im Volksmund „Hodenkrampf“ genannt, reichen von unangenehmen Spannungsgefühlen bis hin zu starken Schmerzen im Bereich des Unterbauchs oder des Hodens, die nach sexueller Erregung ohne folgende Ejakulation auftreten und auch nach einer Ejakulation anhalten können, wenn die Erektion besonders lange aufrechterhalten wurde, oder mehrere Ejakulationen in kurzer Zeit hintereinander erfolgen.[1][2]
Das Phänomen kommt hauptsächlich bei Personen vor, die längere Zeit sexuell wenig aktiv sind. (Bei Frauen kann ein ähnlicher Schmerz im Schamgebiet auftreten, wenn nach starker Erregung kein Orgasmus erreicht wird, jedoch gibt es hierfür keine eigene Bezeichnung.) Je nach Veranlagung können die Schmerzen sehr intensiv sein und subjektiv sehr beunruhigend wirken, zumal sie auch bei sexuell unerfahrenen Personen und nicht nur bei direkten erotischen Interaktionen auftreten. Sie können dann zum Beispiel für Tumorschmerzen gehalten werden. Eine gesundheitliche Gefahr geht von dem Kavaliersschmerz nicht aus.[4]

Was ist ein Samenstau?
Die männlichen Hoden produzieren fortlaufend Spermien und die Prostata produziert ständig Samenflüssigkeit. Diese Prozesse laufen fortwährend ab – egal, ob Samenergüsse erfolgen oder nicht. Anhand dieser Tatsache wäre die Ableitung logisch, dass sich bei Männern, die über einen längeren Zeitraum keinen Samenerguss haben, ein gewisser Druck in den Gefäßen der Hoden, der Prostata und der Samenleiter bildet. Ein Samenstau wäre die Folge. Allerdings hat der männliche Körper für enthaltsame Zeiten eine einfache biologische Lösung parat.

Samenstau: Das passiert, wenn man lange keinen Samenerguss hat
Spermien, die zwar produziert, aber nicht durch einen Samenerguss aus dem Körper befördert werden, können über den Prozess der Resorption abgebaut werden. Dabei lösen sich die Spermien auf und ihre Einzelteile werden dann über die Blutbahnen und Lymphwege abtransportiert. Eine andere Möglichkeit, überflüssiges Sperma loszuwerden, ist die sogenannte Pollution. Dieser Vorgang wird umgangssprachlich auch als „feuchter Traum“ bezeichnet, wobei keinerlei sexuelle Stimulation oder sexuell anregende Träume dafür notwendig sind. Die Ejakulation geht automatisch vonstatten, ohne dass der betroffene Mann etwas davon merkt. Die Pollution kann je nach Mann bereits nach wenigen Tagen oder erst nach Monaten stattfinden.

Der Körper kann also sehr gut mit aufgestauten Spermien umgehen und sie mit zwei effektiven Möglichkeiten wieder loswerden. Wie kann es dann sein, dass trotzdem einige Männer von geschwollenen Hoden sowie krampfartigen Schmerzen im Genitalbereich berichten, wenn Sie zwar sexuell erregt waren, aber es nicht zur Ejakulation kam.

Interessant für Sportler: Der Testosteronspiegel steigt bei Enthaltsamkeit tatsächlich etwa sieben Tage lang an – danach fällt er jedoch wieder auf das Ausgangsniveau ab.
 
Ich bin kein Kenner oder Anhänger der Homöopathie, aber ich kann einen Beckenringbruch bei einer 80-jährigen Dame als Vorbild für eigene Reschersche anführen, falls man das mal selber benötigt. Sie ist inzwischen überaus schnell wieder auf den Beinen, der Bruch verheilt.

Wie hier beschrieben unter Knochen:

Dazu täglich Ackerschachtelhalmtee (H.v. Bingen).
 
Die Angiologie (Lehre von den Gefäßen; griechisch ἀγγεῖον angeīon, deutsch ‚Gefäß‘ und angehängt: -logie) ist ein Teilgebiet der Inneren Medizin, das sich mit Gefäßerkrankungen beschäftigt. Sie befasst sich mit der Entstehung, Epidemiologie, Diagnose, konservativer und interventioneller Therapie, Rehabilitation und Prävention von Erkrankungen der Arterien, Venen und Lymphgefäße.
Die Angiologie, als Begriff erst nach dem Zweiten Weltkrieg verbreitet, wurde in Deutschland von Max Ratschow (1904–1963) begründet, der von 1954 bis zu seinem Tod 1963 Direktor des Klinikums Darmstadt war und dort die weltweit erste Angiologische Klinik etablierte. Die Angiologie ist der jüngste Zweig der Inneren Medizin und befasste sich ursprünglich vorwiegend mit peripheren Durchblutungsstörungen.
 
Die Kurkuma oder Kurkume (Curcuma longa), auch Gelber Ingwer, Safranwurz(el), Gelbwurz(el), Gilbwurz(el) oder Curcuma genannt, ist eine Pflanzenart innerhalb der Familie der Ingwergewächse (Zingiberaceae). Sie stammt aus Südasien und wird in den Tropen kultiviert.
Das Rhizom ähnelt stark dem des Ingwers, ist jedoch intensiv gelb; das geschälte Rhizom wird frisch und getrocknet als Gewürz und Farbstoff verwendet. Es sind bis zu fünf Prozent typische ätherische Öle sowie bis zu drei Prozent des gelbfärbenden Curcumins bzw. dessen Derivate enthalten. Das Rhizom wirkt verdauungsanregend.
Frisch hat der Wurzelstock einen harzigen, leicht brennenden Geschmack, getrocknet schmeckt er mildwürzig und erdig-bitter. Er wird vor allem gemahlen wegen seiner Färbekraft verwendet, beispielsweise als Bestandteil von Gewürzmischungen wie Currypulver[5]. Kurkuma ist wesentlich preiswerter als der ebenfalls stark gelbfärbende Safran. In Indien ist die Verwendung von Currypulver seit 4000 Jahren belegt.[6] Susanne S. Renner geht davon aus, dass Kurkuma bereits vor 10.000 Jahren genutzt wurde, „als die Menschen im Ganges-Delta mit der Landwirtschaft und Nutzung von Pflanzen begonnen haben“.[7]
Kurkuma galt als heilig und gehörte bereits damals zu den wichtigsten Gewürzen.
In der traditionellen indischen Heilkunst Ayurveda wird es zu den „heißen“ Gewürzen gerechnet, denen eine reinigende und energiespendende Wirkung zugesprochen wird.

:blume1: 🪴
In der Liste der Küchenkräuter und Gewürzpflanzen werden Kulturpflanzen und Wildarten aufgeführt, von denen Bestandteile wegen ihres Aromas in der Küche und in der Nahrungsmittelindustrie (zum Beispiel für Süßspeisen und Liköre) regional oder weltweit als Gewürze verwendet werden. Diese werden in einer einfachen botanischen Systematik, insbesondere Systematik der Bedecktsamer dargestellt.[1]
 
Patentierung konventionell gezüchteter Pflanzen in Österreich verboten (c) 1. März 2023
März 2023: Konventionell gezüchtete Pflanzen und Tiere dürfen zukünftig nicht mehr als angebliche „Erfindung“ patentiert werden. Der österreichische Ministerrat hat mit seiner Regierungsvorlage zur Novellierung des Patentgesetzes wichtige Präzisierungen zu Patenten auf Leben beschlossen. Damit werden langjährige Forderungen von ARCHE NOAH umgesetzt. „Am 1. März hat die Bundesregierung klargestellt, dass herkömmlich gezüchtete Pflanzen und Tiere in Österreich nicht patentiert werden dürfen“, freut sich Volker Plass, Geschäftsführer von ARCHE NOAH, der Gesellschaft für die Erhaltung der Kulturpflanzenvielfalt und ihre Entwicklung. „Der Beschluss ist ein wichtiges Signal an die EU und das Europäische Patentamt: Das Patentrecht darf nicht länger missbraucht werden, um den Saatgutmarkt immer weiter zu monopolisieren. Saatgut ist die Grundlage unserer Ernährung und keine Erfindung eines Konzerns!“
 
Werbung:
Vorsicht mit Kurkuma ... beim Bekleckern!
Die Farbe geht beim Waschen nämlich kaum aus der Wäsche. Selbst Chlorbleiche scheitert am Kurkuma, wenigstens bei der ersten Wäsche.
So heiss wie möglich (und solo) waschen, und in die Sonne legen. Denn die Farbe des Kurkumas ist nicht lichtecht und wird durch UV-Bestrahlung zerstört.
 
Zurück
Oben